Quando é necessário fazer canal?
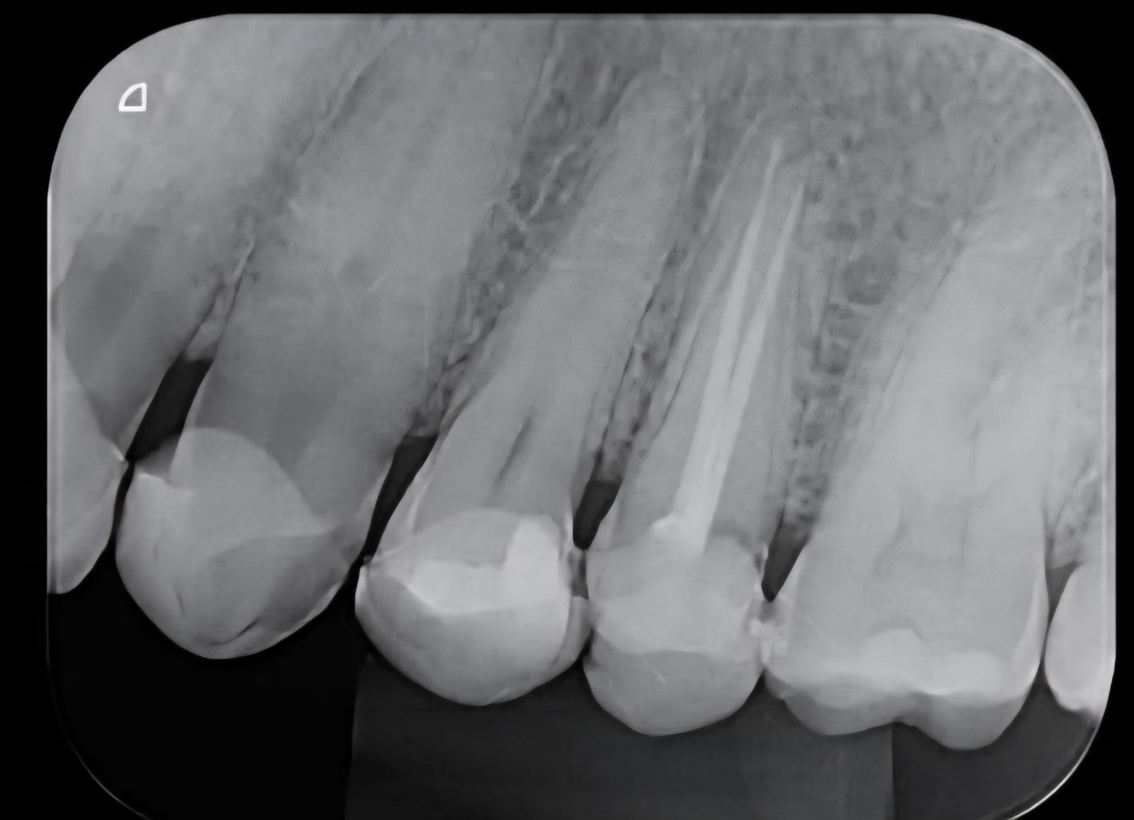
O tratamento de canal é indicado quando a polpa do dente está inflamada ou infectada. Sinais como dor intensa, sensibilidade ao frio/calor e inchaço podem indicar a necessidade do procedimento.
Leia mais →Dr. Renan de Moura Lima (Prótese) e Dra. Flávia Rebecca Sorensen Ferreira (Canal)
Profissionais dedicados em devolver saúde e função com tecnologia de ponta
Oferecemos tratamentos de qualidade com tecnologia de ponta e profissionais altamente qualificados
Endodontia moderna com a Dra. Flávia Rebecca. Técnicas minimamente invasivas que salvam seus dentes naturais com procedimentos precisos e confortáveis.
Próteses fixas e removíveis com o Dr. Renan de Moura Lima. Coroas, pontes e reabilitações que devolvem funcionalidade e estética ao seu sorriso.
Implantes de alta qualidade para substituir dentes perdidos. Solução definitiva que devolve a função mastigatória e autoestima com segurança.
Clareamento profissional para um sorriso mais branco e radiante. Técnicas seguras que respeitam a estrutura dental e garantem resultados duradouros.
Procedimentos estéticos que harmonizam o sorriso com o rosto. Botox, preenchimentos e outras técnicas para realçar sua beleza natural.
Tecnologia 3D para diagnósticos precisos e planejamentos detalhados. Maior conforto para o paciente e resultados mais previsíveis.
Procedimentos cirúrgicos com segurança e conforto. Extrações, cirurgias pré-protéticas e outros procedimentos especializados.
Pronto atendimento para urgências odontológicas. Alívio rápido da dor e soluções imediatas para problemas bucais.
Profissionais qualificados dedicados a devolver saúde e função ao seu sorriso
Profissional dedicado em reabilitação oral e próteses dentárias. Focado em devolver função mastigatória e estética com tratamentos personalizados e tecnologia avançada.
Profissional em tratamento de canal com técnicas modernas e minimamente invasivas. Comprometida em salvar dentes naturais com procedimentos precisos e confortáveis.
Informações importantes sobre saúde bucal e nossos tratamentos
O tratamento de canal é indicado quando a polpa do dente está inflamada ou infectada. Sinais como dor intensa, sensibilidade ao frio/calor e inchaço podem indicar a necessidade do procedimento.
Leia mais →Conheça as diferenças entre próteses fixas, removíveis e sobre implantes. Cada tipo tem suas indicações específicas dependendo do caso clínico do paciente.
Leia mais →Esclarecemos os principais mitos sobre implantes dentários. O procedimento é mais simples do que muitos imaginam e a recuperação é mais tranquila com os cuidados adequados.
Leia mais →A harmonização orofacial combina procedimentos odontológicos e estéticos para equilibrar as proporções do sorriso com o rosto, realçando a beleza natural.
Leia mais →Orientações importantes para uma recuperação rápida e eficaz após procedimentos odontológicos. Saiba como cuidar adequadamente da sua saúde bucal.
Leia mais →Saiba como agir em casos de dor de dente, traumatismo dental ou perda de restauração. Algumas situações necessitam atendimento para evitar complicações.
Leia mais →Atualmente não trabalhamos com convênios, mas oferecemos parcelamento em até 10x e preços promocionais de inauguração.
Oferecemos parcelamento em até 10x no cartão de crédito, facilitando o acesso aos nossos tratamentos especializados.
Sim! Atendemos urgências odontológicas em nosso horário de funcionamento (Segunda a Sexta: 7h às 19h). Entre em contato via WhatsApp (11) 91179-0849 para casos urgentes.
O tratamento de canal geralmente é realizado em 1 a 3 sessões, dependendo da complexidade do caso. Cada sessão dura em média 1 hora.
Depoimentos reais de quem confia na RR Dentista Canal
"Fiz meu canal com a Dra. Flávia e foi surpreendente! Sem dor e com muito cuidado. Recomendo!"
"Dr. Renan fez minha prótese fixa e ficou perfeita! Voltei a sorrir com confiança. Muito obrigada!"
"Clínica moderna, profissionais atenciosos. Meu implante foi um sucesso total. Super indico!"
Veja a transformação que podemos fazer no seu sorriso
Quer ter resultados como esses?
Agende Sua ConsultaNa RR Dentista Canal, nossa missão é clara: devolver saúde e função ao seu sorriso. Somos uma clínica especializada que combina expertise técnica com tecnologia de ponta para oferecer tratamentos excepcionais.
Com o Dr. Renan de Moura Lima em Prótese e a Dra. Flávia Rebecca Sorensen Ferreira em Endodontia, oferecemos um atendimento diferenciado que vai além do convencional.
🎉 Estamos em inauguração! Aproveite nossos preços promocionais especiais para começar seu tratamento com condições exclusivas.
(11) 91179-0849
r.odontologia1@gmail.com
Rua José Manso, 290
Sala 206 - Torre 2
Vila Matilde - Zona Leste
Segunda a Sexta: 7h às 19h
Atendemos urgências odontológicas
Parcelamos em até 10x
Escolha o dia e horário que melhor se adequa à sua agenda
Segunda a Sexta: 7h às 19h
Sábado: 8h às 14h
Ligue para agendar:
(11) 91179-0849
Vila Matilde - São Paulo
Próximo ao Metrô Vila Matilde